

Во многих случаях операция по замене сустава является последним средством, на которое может рассчитывать больной человек. Но, как и любая операция, операция эндопротезирования (Замена сустава, Replacement) имеет свои риски. Эти риски выше при ревизионных (повторных) оперативных вмешательствах.
Поэтому перед тем, как решиться на операцию по замене сустава, необходимо тщательно взвесить все плюсы и минусы такого выбора.
Среди европейских ортопедов бытует такое выражение, что эндопротезирование сустава тождественно внутренней ампутации этого сустава. И это в некотором смысле правомерно. Ведь при эндопротезировании удаляется достаточно много собственной костной ткани, которая не восстанавливается.
К возможным осложнениям после замены сустава относятся:
Инфекционный процесс (параэндопротезная инфекция)

Инфекция в области эндопротеза (нагноение) - тяжёлое осложнение. Его лечение является сложным, длительным и дорогостоящим.
Риск развития параэндопротезного инфекционного процесса особенно повышен у пациентов с такими сопутствующими заболеванием, как ревматоидный артрит, которые принимают гормональные препараты.
Инфекционные осложнения проявляются болью, отеком, покраснением в месте развития инфекции, резким нарушением опорной и двигательной функции конечности. Развивается септическая нестабильность эндопротеза. Когда гнойный процесс переходит в хроническую фазу, формируется свищ, из которого постоянно или периодически выделяется гной.

Консервативное лечение при этом является практически неэффективным. Формируется хронический постоперационный остеомиелит (гнойное воспаление кости в области эндопротеза). В большинстве таких случаев приходится делать повторную операцию - удаление эндопротеза. После этого вместо ожидаемого появления нового сустава у человека в этой области не остаётся даже сустава больного, лишь "пустое место", да ещё и хронический гнойный очаг. Резко страдает опорная и двигательная функция конечности, конечность укорачивается. В результате пациент остаётся тяжёлым инвалидом.
Как видно на приведенной рентгенограмме, после удаления эндопротеза остаётся "пустое место" в области бывшего тазобедренного сустава.
Зелёным цветом на компонентах удалённого эндопротеза окрасились места контакта с гноем.

В последнее время более успешно бороться с парапротезной инфекцией стало возможным благодаря использованию так называемых артикулирующих спейсеров (спейсеров суставов). Это временные эндопротезы, изготовленные из костного цемента (полиметилметакрилата) с добавлением антибиотиков. Установка спейсера с последующим его удалением и заменой на полноценный эндопротез потребует ещё минимум 2 обширные операции на суставе.
При повторных попытках протезировать сустав, даже спустя годы после затихания гнойно-воспалительного процесса, возможен рецидив.
Вывих эндопротеза


Т.к. искусственный сустав не является полноценной заменой суставу настоящему, то его функциональные возможности, соответственно, ниже. При некоторых неосторожных движениях в суставе может произойти вывих эндопротеза. Как и при вывихах в натуральных суставах, считается, что вывихивается дистальный компонент протеза по отношению к проксимальному (например, в тазобедренном эндопротезе вывихивается головка эндопротеза).
Поэтому после операции эндопротезирования тазобедренного сустава строго не рекомендуют сгибать ногу в тазобедренном суставе более чем на 90°, а также ротировать ногу вовнутрь.
Вывих может также произойти при падении.
При произошедшем вывихе, его вправляют под наркозом. После этого ногу иммобилизируют. По окончании острого периода всегда сохраняется риск повторных вывихов. Если закрытым путём не удаётся вправить вывих, делают операцию открытого вправления вывиха.
Перелом эндопротеза


Может ломаться ножка либо шейка эндопротеза. Это обусловлено т.н. "усталостью" металла, развивающейся вследствие постоянных нагрузок на металлоконструкцию.
Даже протезы из самых прочных сплавов не застрахованы от подобных осложнений.
Нестабильность компонентов эндопротеза (асептическая нестабильность, расшатывание эндопротеза)


При стоянии или ходьбе на эндопротез ложится большая нагрузка, в соединении между костью и эндопротезом происходят микродвижения. Вследствие этого эндопротез расшатывается. Может расшататься как ножка (бедренный компонент), так и чашка (вертлужный компонент) протеза. Ножка эндопротеза может разрушить стенку кости, в которой расположена - возникает перипротезный (парапротезный) перелом.
При развившейся нестабильности эндопротеза требуется повторная операция - ревизионное эндопротезирование.
При перипротезном переломе потребуется операция остеосинтеза с последующим длительным ограничением физической активности.

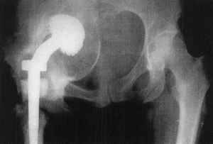
Разрушение вкладыша эндопротеза
Полимерный вкладыш, который расположен между металлическими частями эндопротеза, снижает их трение друг о друга при движениях. Он может стираться, трескаться, вывихиваться.
Это ведёт к децентрации головки эндопротеза (на представленной рентгенограмме видно смещение головки эндопротеза от центра) и нарушению функции конечности.
При таком осложнении требуется повторное оперативное вмешательство с целью замены вкладыша.
Протрузия вертлужной впадины

Это внедрение бедренного компонента протеза (головки) в вертлужную впадину с прободением её стенки и выходом в полость малого таза.
Такое осложнение резко нарушает функцию сустава (делает её фактически невозможной), а также чревато повреждением органов малого таза.
Изменение длины оперированной конечности

Может наблюдаться как укорочение, так и удлинение оперированной конечновти.
Подобное осложнение может возникать при неправильной установке эндопротеза. В таком случае может потребоваться новая операция.
Также такое осложнение может быть обусловлено ослаблением околосуставных мышц. В этом случае необходимо укрепление этих мышц физическими упражнениями.
Контрактура протезированного сустава (ограничение движений)
Возникает при оссификации (окостенении) околосуставных мягких тканей.
В этом случае сохраняется опорная функция конечности, но резко ограничивается объём движений в протезированном суставе.
Послеоперационный неврит(тракционная нейропатия)
Это воспаление нервов, проходящих вблизи сустава вследствие травматизации (перерастяжения или сдавления) их во время операции.
Тромбоз глубоких вен конечности
После операции в оперированной конечности могут образовываться тромбы в венах, вследствие уменьшения движений (т.к. при низкой физической активности плохо работает мышечно-венозная «помпа» - насос, помогающий движению крови в венах нижних конечностей). При этом в венах происходит застой крови, кровь становится гуще, в результате образуются тромбы.
Поэтому, рекомендована ранняя активация больного, а также профилактический прием противосвёртывающих средств (антикоагулянтов).
В результате венозного тромбоза может развиться наиболее грозное осложнение - тромбоэмболия лёгочной артерии.
Тромбоэмболия лёгочной артерии
Смертельное осложнение, к счастью, редкое (до 0.05%). Причина его кроется в том, что после эндопротезирования у больных резко повышается способность к образованию тромбов. Если такой тромб отрывается от стенки кровеносного сосуда и с током крови попадает в легкие, нарушается процесс поступления кислорода в организм, и пациент погибает. Всем больным после эндопротезирования вводят антикоагулянты, "разжижающие" кровь и резко уменьшающие риск такого осложнения.